The Dark Side of Ultra-Processed Foods: Chilling Images Reveal Their Impact.
Rare medical images provide a chilling look at the internal damage caused by ultra-processed foods. One recent case study features a cross-section of a woman's thigh that resembles a slab of marbled steak. This patient derived 87 percent of her nutrition from ultra-processed foods, including cereals, candy, and soda. These industrial products rely on refined sugars, oils, starches, and additives like artificial flavors and preservatives.
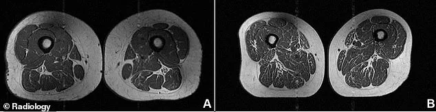
A separate study of 615 adults at risk for osteoarthritis found a 41 percent average UPF intake. Researchers observed that higher consumption leads to greater marbling, where fat replaces healthy, functional muscle tissue. This hidden fat accumulation increases overall body fat and significantly raises the risk of metabolic disease.

Even with regular exercise, a diet high in ultra-processed foods can lead to fat infiltrating muscles. When the body processes excessive sugars and additives, muscle cells may stop responding properly to insulin. Instead of repairing tissue, specialized cells become confused and start transforming into new fat cells. This condition, known
Human thigh muscles can develop white streaks of fat. This process is known as marbling. It looks similar to fat in a steak. A diet high in ultra-processed foods (UPF) can cause this. It directly weakens the muscle tissue.

Through specialized MRI scans, researchers uncovered these hidden changes. They used data from the Osteoarthritis Initiative. The team selected 615 participants from a larger group. None of these individuals had arthritis, joint pain, or chronic diseases.
Each person completed a detailed dietary questionnaire. It covered everything they ate in the past year. Researchers then calculated the percentage of daily UPF intake. They also used MRI scans to grade fat infiltration. This scale ranged from zero to four. A score of four means more than 50 percent fat.

The study appeared in the journal Radiology. It found that higher UPF consumption leads to more intramuscular fat. This effect was visible in the hamstrings, quadriceps, and inner thighs. The link was even stronger when measuring abdominal circumference rather than just BMI.

The inner thighs, or adductors, were most affected. The hamstrings, or flexors, followed next. The quadriceps, or extensors, showed the smallest but still significant effect. These results were consistent for both men and women.
UPFs are industrial products. They contain refined sugars, oils, and starches. They also include artificial flavors, colors, and preservatives. This diet poses a significant risk to muscle health as we age.

Can we reverse existing muscle fat? It is not yet certain. However, evidence suggests we can improve muscle quality. Regular aerobic exercise, like walking 30 to 60 minutes, can reduce fat. Resistance training improves strength even if fat remains. Bariatric surgery also shows potential for severely obese patients.
Reducing UPF intake is the most vital step. It stops further damage and protects aging muscles. The goal should be preventing new marbling. We must focus on building lean muscle through strength training.
Photos